Coronavirus

Researchers may have cracked why some people have long-term smell loss from COVID

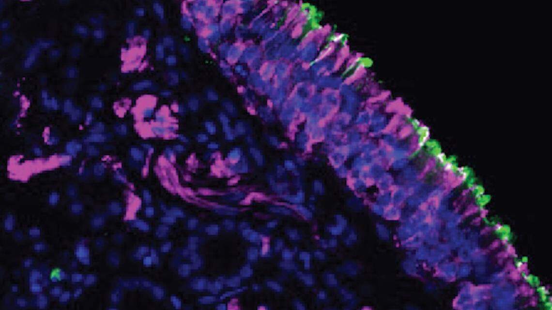
A biopsy of cells in the nose. Olfactory neurons in the nasal lining are stained in magenta.
A biopsy of cells in the nose. Olfactory neurons in the nasal lining are stained in magenta. Dr. Bradley Goldstein

Last February, Ruth Sheehan recovered from a COVID-19 infection that took away her sense of smell.

Nearly two years later, her olfactory world is still dark. The smells of perfume, the Thanksgiving turkey, subtle food seasoning and coffee are similarly lost on her nostrils.

Sheehan said she is grateful she mostly came away from the infection unscathed but added:

“I definitely miss smelling things. I figured eventually it would come back but it just hasn’t.”

Most people who lose their sense of smell from a COVID infection recover within a few weeks. But an unlucky minority of the population — about 5% according to one study — experience smell and taste loss months or years after their initial infection.

Duke researchers may have finally figured out what is happening in the noses of people like Sheehan, who never recover. The process is described in a paper published Wednesday in the journal “Science Translational Medicine.”

Understanding this mechanism could help doctors design treatments for the condition, which so far lacks an effective treatment, said Dr. Bradley Goldstein, a Duke neuroscientist who led the research.

The researchers gathered 24 nose-tissue samples: nine from people with long-term smell loss from COVID, two from patients who recovered from COVID without smell loss, and 13 from people who never had COVID at all.

“The findings appeared pretty striking to us — there really are some very obvious differences,” Goldstein said.

Under the microscope, his research team found that people with long-term smell loss had obvious inflammation in a part of the nose dedicated to smell.

“I’m not talking about sort of this rip-roaring, severe nasal inflammation where you’re super congested, blowing your nose and feeling like you’re sick,” he said. “It’s more at a local microscopic level.”

That inflammation could explain why the samples from the smell-loss group had substantially fewer olfactory nerve cells, the “key cells” for smelling, Goldstein said.

Furthermore, they found that the inflammation was likely hindering the body’s ability to regenerate the depleted nerve cells.

Now that scientists have identified the types of immune cells likely responsible for smell loss, Goldstein said he hopes doctors will look into whether drugs that target those inflammatory signals can be repurposed.

The findings in Wednesday’s paper could also have implications for the treatment of long COVID more broadly, Goldstein said.

“Long COVID can affect lots of different organs in our body,” he said. “It’s possible that a very similar process is happening in those other places.”

Many mysteries about COVID related to smell loss still exist.

The most outstanding remaining question is why some people, like Sheehan, experience persistent smell loss while others recover. Goldstein hypothesized that it could have to do with which viruses people were previously exposed to .

Goldstein said a loss of smell can have a significant impact on quality of life. Some studies show an association between smell loss and heightened anxiety and depression.

“It’s one of those things that’s sometimes a bit underappreciated until it’s damaged or not working,” he said. “Then people realize how important it is.”

Teddy Rosenbluth covers science and health care for The News & Observer in a position funded by Duke Health and the Burroughs Wellcome Fund. The N&O maintains full editorial control of the work.

This story was originally published December 21, 2022 at 2:00 PM with the headline "Researchers may have cracked why some people have long-term smell loss from COVID."

Teddy Rosenbluth
The News & Observer
Teddy Rosenbluth covers science for The News & Observer in a position funded by Duke Health and the Burroughs Wellcome Fund. She has covered science and health care for Los Angeles Magazine, the Santa Monica Daily Press, and the Concord Monitor. Her investigative reporting has brought her everywhere from the streets of Los Angeles to the hospitals of New Delhi. She graduated from UCLA with a bachelor’s degree in psychobiology.
Get unlimited digital access
#ReadLocal

Try 1 month for $1

CLAIM OFFER